本日の治療症例紹介 CASE-No.2|ILC国際腰痛クリニック(名古屋)コラム
カテゴリー:
患者様
50代 女性
これまでの患者様の経過について
2024年12月頃より足の痛みを感じるようになり、1月頃に近医へ受診しLSSの診断をされた。
ブロック注射も行ってみたが針を刺すのが痛いだけで効果なし。
立った瞬間や長時間歩いているときに痺れや痛みが強くなり、毎日足の痛くなる箇所が変わるとのこと。
治療前の症状について
・治療前の痛みレベル
| 腰 | 下肢 | しびれ | おしり | |
|---|---|---|---|---|
| 痛みの度合い | 1 | 7 | 9 | 1 |
まったく痛みが無い場合を0、考えられる最大の痛みを10と評価しています。
主な痛みの部分-右足

前屈:増悪なし
後屈:増悪なし
ラセーグ:陰性
圧痛:L4/5右
間欠性跛行:陰性
・日常動作
立ち上がった際に痛みあり。立った状態や長時間の歩行で痛み増悪。
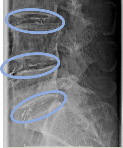
画像及び所見について

L1/2: 異常なし
L2/3: 軽度椎間板変性
L3/4: 椎間板変性、黄色靭帯肥厚、脊柱管狭窄症
L3/4: 椎間板変性、黄色靭帯肥厚、脊柱管狭窄症
L4/5: 椎間板変性
以上の事が画像上認められます。
・L3/4、4/5、5/S-椎間板変性、黄色靭帯肥厚、脊柱管狭窄症を認め、主症状の原因の可能性が高い。
治療について
患者様と相談の元、L3/4、4/5、5/Sにセルゲル法を施行
治療は伴医師が行いました。

DiscoGelを入れた後の画像になります。
治療は30分程度で終了
回復室で休憩後、歩いて帰院されました。
当院の治療法について
今回ご案内したセルゲル法の補足情報です。
セルゲル法の費用:1,320,000円/1箇所(税込み)~1,760,000円/5箇所(税込み)
※この患者様のケースの費用:セルゲル3箇所=1,540,000円(税込み)
セルゲル法のリスク・副作用:治療後に一過性の痛みが発生する可能性があります。神経損傷は治療の特性上、可能性がゼロではないですが、自験例でも論文でも損傷に関する報告はありません。局所麻酔薬によるアレルギー反応出現の可能性が極めてわずかですが存在します。治療後1~2週間は症状が一時的に悪化する可能性があります。理由として、インプラントによる減圧効果により、周囲の組織をけん引する為と考えられています。その他、椎間板がすり潰れてほとんどなくなってしまっている様な場合は治療ができない可能性があります。受診時に医師と相談しながら状態に適した治療方法の選択をご相談して頂きます。
更に詳しい情報については下記リンク先のページをご参照ください。
この記事の執筆者:理事長