治療症例紹介

腰の治療症例紹介・コラム

本日の治療症例紹介 CASE-No.29|ILC国際腰痛クリニック(名古屋)コラム

患者様

80代 女性

これまでの患者様の経過について 

6-7年前しゃがみこんで花壇を触っていたところ翌日腰痛出現。近医整形外科ですべり症と診断された。

治療前の症状について

・治療前の痛みレベル

まったく痛みが無い場合を0、考えられる最大の痛みを10と評価しています。

主な痛みの部分-両側腰部痛、右下肢痛・痺れ、右臀部痛

前屈:増悪なし

後屈:増悪なし

ラセーグ:陰性

圧痛:L3/4右、右仙腸関節、右坐骨神経痛

間欠性跛行:陽性

・日常動作

バレー

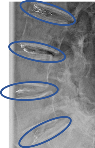
画像及び所見について

L1/2: 椎間板変性、椎間板膨隆
L2/3: 椎間板変性、椎間板膨隆、両側椎間孔狭窄
L3/4: 椎間板変性、椎間板ヘルニア、両側椎間孔狭窄
L4/5: 椎間板変性、椎間板ヘルニア
L5/S: 椎間板変性、椎間板膨隆、両側椎間孔狭窄

以上の事が画像上認められます。

L2/3、3/4、4/5、5/Sに
椎間板変性、椎間板ヘルニア、両側椎間孔狭窄を認め、主症状の原因の可能性が高い。

治療について

患者様と相談の元、L2/3、3/4、4/5、5/Sにセルゲル法を施行
治療は 伴医師 が行いました。

DiscoGelを入れた後の画像になります。
治療は50分 程度で終了
回復室で休憩後、歩いて帰院されました。

当院の治療法について

今回ご案内したセルゲル法の補足情報です。

セルゲル法の費用:1,320,000円/1箇所(税込み)~1,760,000円/5箇所(税込み)

※この患者様のケースの費用:セルゲル4箇所=1,650,000円(税込み)

セルゲル法のリスク・副作用:治療後に一過性の痛みが発生する可能性があります。神経損傷は治療の特性上、可能性がゼロではないですが、自験例でも論文でも損傷に関する報告はありません。局所麻酔薬によるアレルギー反応出現の可能性が極めてわずかですが存在します。治療後1~2週間は症状が一時的に悪化する可能性があります。理由として、インプラントによる減圧効果により、周囲の組織をけん引する為と考えられています。その他、椎間板がすり潰れてほとんどなくなってしまっている様な場合は治療ができない可能性があります。受診時に医師と相談しながら状態に適した治療方法の選択をご相談して頂きます。

更に詳しい情報については下記リンク先のページをご参照ください。

上戻る