本日の治療症例紹介 CASE-No.238|ILC国際腰痛クリニック(東京)コラム
カテゴリー:
患者様
90代 男性
これまでの患者様の経過について
70代頃に初めてぎっくり腰を発症。電気針で改善。
2025年9月少しずつ腰と両下肢が重くなってきた。下肢にしびれ症状が出た時に近医の整形外科を受診し、投薬で経過観察となる。
改善せず徐々に増悪して来た為、当院受診となる。
治療前の症状について
・治療前の痛みレベル
| 腰 | 下肢 | しびれ | おしり | |
|---|---|---|---|---|
| 痛みの度合い | 2 | 0 | 3 | 0 |
まったく痛みが無い場合を0、考えられる最大の痛みを10と評価しています。
主な痛みの部分-腰、両下肢

前屈:変化なし
後屈:実施不可
ラセーグ:陰性
圧痛:無し
間欠性跛行:陰性
・日常動作
何かの行動で悪化することはなく日常的にしびれがある。
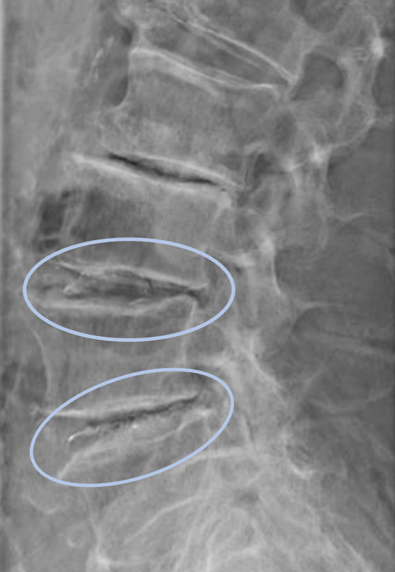
画像及び所見について

- L1/2,2/3,3/4,4/5,5/s-椎間板変性
- L3/4-椎間板ヘルニア
- L3/4-脊柱管狭窄症
以上の事が画像上認められます。
・L3/4-椎間板ヘルニアを認め、症状を鑑みると主症状の原因の可能性が高い
治療について
患者様と相談の元、L3/4,4/5にセルゲル法を施行
治療は簑輪院長が行いました。

DiscoGelを入れた後の画像になります。
治療は15分程度で終了
回復室で休憩後、歩いて帰院されました。
当院の治療法について
今回ご案内したセルゲル法の補足情報です。
セルゲル法の費用:1,320,000円/1箇所(税込み)~1,760,000円/5箇所(税込み)
※この患者様のケースの費用:セルゲル2箇所=1,430,000円(税込み)
セルゲル法のリスク・副作用:治療後に一過性の痛みが発生する可能性があります。神経損傷は治療の特性上、可能性がゼロではないですが、自験例でも論文でも損傷に関する報告はありません。局所麻酔薬によるアレルギー反応出現の可能性が極めてわずかですが存在します。治療後1~2週間は症状が一時的に悪化する可能性があります。理由として、インプラントによる減圧効果により、周囲の組織をけん引する為と考えられています。その他、椎間板がすり潰れてほとんどなくなってしまっている様な場合は治療ができない可能性があります。受診時に医師と相談しながら状態に適した治療方法の選択をご相談して頂きます。
更に詳しい情報については下記リンク先のページをご参照ください。
この記事の執筆者:理事長