本日の治療症例紹介 CASE-No.239|ILC国際腰痛クリニック(東京)コラム
カテゴリー:
患者様
70代 女性
これまでの患者様の経過について
30代の時に慢性的な腰痛があった。
2025年5月に右臀部から下肢にかけての痛みと歩行困難になり入院、椎間板ヘルニアの摘出手術施行。症状・歩行能力改善。
2026年1月、左臀部から下肢にかけて痛みが出る。再発の診断となり、固定術の提案をされたが前向きになれず辞退した。
ネットで当院知り症状改善の為、当院受診となる。
治療前の症状について
・治療前の痛みレベル
| 腰 | 下肢 | しびれ | おしり | |
|---|---|---|---|---|
| 痛みの度合い | 5 | 5 | 0 | 5 |
まったく痛みが無い場合を0、考えられる最大の痛みを10と評価しています。
主な痛みの部分-左臀部・左下肢

前屈:腰痛有り
後屈:腰痛有り
ラセーグ:右陽性
圧痛:L5両側
間欠性跛行:陰性
・日常動作
起床時から動作を始める瞬間に痛みが増悪する。
画像及び所見について

- L3/4,4/5,5/s-椎間板変性
- L5/s-椎間板ヘルニア
以上の事が画像上認められます。
・L5/s-椎間板ヘルニアを認め、症状を鑑みると主症状の原因の可能性が高い
治療について
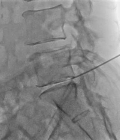
患者様と相談の元、L5/sにPODDを施行
治療は末松医師が行いました。

針を椎間板に刺入後オゾンを入れて治療終了となります。
治療は10分程度で終了
回復室で休憩後、歩いて帰院されました。
当院の治療法について
今回ご案内したPODDの補足情報です。
PODDの費用:330,000円/1箇所(税込み)~550,000円/5箇所(税込み)
※この患者様のケースの費用:PODD1箇所=330,000円(税込み)
PODDのリスク・副作用:治療後に一過性の痛みが発生する可能性があります。神経損傷は治療の特性上、可能性がゼロではないですが、自験例でも論文でも損傷に関する報告はありません。局所麻酔薬によるアレルギー反応出現の可能性が極めてわずかですが存在します。その他、椎間板がすり潰れてほとんどなくなってしまっている様な場合は治療ができない可能性があります。受診時に医師と相談しながら状態に適した治療方法の選択をご相談して頂きます。
更に詳しい情報については下記リンク先のページをご参照ください。
この記事の執筆者:理事長