治療症例紹介

腰の治療症例紹介・コラム

本日の治療症例紹介 CASE-No.45|ILC国際腰痛クリニック(名古屋)コラム

カテゴリー:

患者様

70代 男性

これまでの患者様の経過について 

4~5年前に1か所脊柱管狭窄症の指摘。大腿部の痛みがあった。今年2月ごろから足腰の痛みがひどくなり3月にゴルフに行った後歩きづらくなり杖をもって歩いている。右下肢と左下肢のしびれが強い。他院で投薬中。

治療前の症状について

・治療前の痛みレベル

まったく痛みが無い場合を0、考えられる最大の痛みを10と評価しています。

主な痛みの部分-両側腰部、両下肢腹背側、右足背足底、両側臀部

前屈: 両脹脛
後屈: 増悪なし
ラセーグ: 陰性
圧痛: 左仙腸関節

間欠性跛行: 陰性

・日常動作

デスクワーク

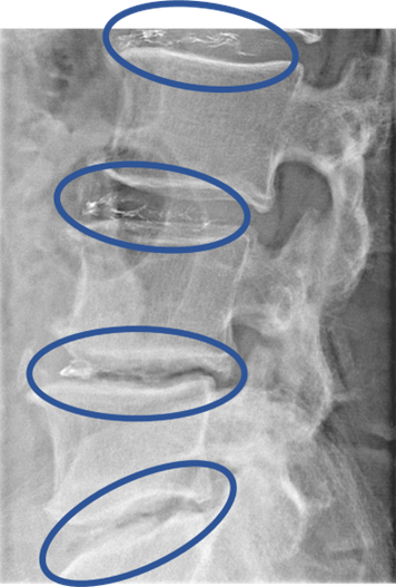
画像及び所見について

L1/2: 異常なし
L2/3: 椎間板ヘルニア、椎間板変性症
L3/4: 椎間板変性症
L4/5: 椎間板変性症、両椎間孔狭窄
L5/S: 椎間板変性症、両椎間孔狭窄

以上の事が画像上認められます。

L2/3、3/4、4/5、5/sに
椎間板ヘルニア、椎間板変性症、両椎間孔狭窄 を認め、主症状の原因の可能性が高い。

治療について

患者様と相談の元、L2/3、3/4、4/5、5/sにセルゲル法を施行
治療は 伴医師 が行いました。

DiscoGelを入れた後の画像になります。
治療は 40分程度で終了
回復室で休憩後、歩いて帰院されました。

当院の治療法について

今回ご案内したセルゲル法の補足情報です。

セルゲル法の費用:1,320,000円/1箇所(税込み)~1,760,000円/5箇所(税込み)

※この患者様のケースの費用:セルゲル4箇所=1,650,000円(税込み)

セルゲル法のリスク・副作用:治療後に一過性の痛みが発生する可能性があります。神経損傷は治療の特性上、可能性がゼロではないですが、自験例でも論文でも損傷に関する報告はありません。局所麻酔薬によるアレルギー反応出現の可能性が極めてわずかですが存在します。治療後1~2週間は症状が一時的に悪化する可能性があります。理由として、インプラントによる減圧効果により、周囲の組織をけん引する為と考えられています。その他、椎間板がすり潰れてほとんどなくなってしまっている様な場合は治療ができない可能性があります。受診時に医師と相談しながら状態に適した治療方法の選択をご相談して頂きます。

更に詳しい情報については下記リンク先のページをご参照ください。

上戻る