本日の治療症例紹介 CASE-No.55|ILC国際腰痛クリニック(名古屋)コラム
カテゴリー:
患者様
70代 女性
これまでの患者様の経過について
腰の悩みは前からあった。痛くなったのは5~6年前から〈2年前〉重量物を持ってT12圧迫骨折、他院にてセメント術施行。〈現在〉すべり症と言われた。他院にて今後増悪の際は手術を提案されている。
治療前の症状について
・治療前の痛みレベル
| 腰 | 下肢 | しびれ | おしり | |
|---|---|---|---|---|
| 痛みの度合い | 1 | 2 | 2 | 0 |
まったく痛みが無い場合を0、考えられる最大の痛みを10と評価しています。

主な痛みの部分-両側腰部、左足指
前屈: 増悪なし
後屈: 増悪なし
ラセーグ: 陰性
圧痛: はっきりせず(L4/5あたり)
間欠性跛行: 陰性
・日常動作
特になし
画像及び所見について

L1/2: 椎間板変性症
L2/3: 椎間板変性症
L3/4: 椎間板変性症
L4/5: 椎間板変性症、繊維輪断裂、両椎間孔狭窄
L5/S: 椎間板変性症、椎間板ヘルニア、繊維輪断裂
以上の事が画像上認められます。
L4/5、5/s に
椎間板変性症、繊維輪断裂、椎間孔狭窄、椎間板ヘルニアを認め、主症状の原因の可能性が高い。
治療について
患者様と相談の元、L4/5、5/s にセルゲル法を施行
治療は 伴医師 が行いました。

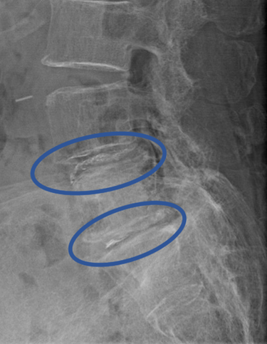
DiscoGelを入れた後の画像になります。
治療は 20分程度で終了
回復室で休憩後、歩いて帰院されました。
当院の治療法について
今回ご案内したセルゲル法の補足情報です。
セルゲル法の費用:1,320,000円/1箇所(税込み)~1,760,000円/5箇所(税込み)
※この患者様のケースの費用:セルゲル2箇所=1,430,000円(税込み)
セルゲル法のリスク・副作用:治療後に一過性の痛みが発生する可能性があります。神経損傷は治療の特性上、可能性がゼロではないですが、自験例でも論文でも損傷に関する報告はありません。局所麻酔薬によるアレルギー反応出現の可能性が極めてわずかですが存在します。治療後1~2週間は症状が一時的に悪化する可能性があります。理由として、インプラントによる減圧効果により、周囲の組織をけん引する為と考えられています。その他、椎間板がすり潰れてほとんどなくなってしまっている様な場合は治療ができない可能性があります。受診時に医師と相談しながら状態に適した治療方法の選択をご相談して頂きます。
更に詳しい情報については下記リンク先のページをご参照ください。