治療症例紹介

腰の治療症例紹介・コラム

本日の治療症例紹介 CASE-No.224|ILC国際腰痛クリニック(東京)コラム

カテゴリー:

患者様

80代 男性 

これまでの患者様の経過について

40代の頃、ゴルフをした後に腰が重くなった。

5年前から腰痛が出始める。1年前からどんどん歩く距離とスピードが落ち始めてきた。

症状改善の為、当院受診となる。

治療前の症状について

・治療前の痛みレベル

下肢しびれおしり
痛みの度合い6405

まったく痛みが無い場合を0、考えられる最大の痛みを10と評価しています。

主な痛みの部分-腰

前屈:変化なし

後屈:右腰に痛み

ラセーグ:陽性(左右45度で下肢に痛み)

圧痛:L5

間欠性跛行:陽性(数百メートル)

・日常動作

歩き続けていると症状増悪

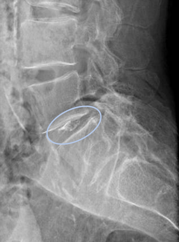
画像及び所見について

  • L5/s-椎間板変性

以上の事が画像上認められます。

・L5/s-椎間板変性による右椎間孔狭窄を認め、主症状の原因の可能性がある

治療について

患者様と相談の元、L5/sにセルゲル法を施行

治療は岩崎医師が行いました。

DiscoGelを入れた後の画像になります。

治療は15分程度で終了

回復室で休憩後、歩いて帰院されました。

当院の治療法について

今回ご案内したセルゲル法の補足情報です。

セルゲル法の費用:1,320,000円/1箇所(税込み)~1,760,000円/5箇所(税込み)

※この患者様のケースの費用:セルゲル1箇所=1,320,000円(税込み)

セルゲル法のリスク・副作用:治療後に一過性の痛みが発生する可能性があります。神経損傷は治療の特性上、可能性がゼロではないですが、自験例でも論文でも損傷に関する報告はありません。局所麻酔薬によるアレルギー反応出現の可能性が極めてわずかですが存在します。治療後1~2週間は症状が一時的に悪化する可能性があります。理由として、インプラントによる減圧効果により、周囲の組織をけん引する為と考えられています。その他、椎間板がすり潰れてほとんどなくなってしまっている様な場合は治療ができない可能性があります。受診時に医師と相談しながら状態に適した治療方法の選択をご相談して頂きます。

更に詳しい情報については下記リンク先のページをご参照ください。

この記事の執筆者:理事長

上戻る