本日の治療症例紹介 CASE-No.227|ILC国際腰痛クリニック(大阪)コラム
カテゴリー:
患者様
20代 男性
これまでの患者様の経過について
9カ月前からの右腰部~下肢の痛み。
他院にて椎間板ヘルニアの診断。手術を勧められている。
鎮痛薬と湿布で対応しているが効果無いとのこと。
3か月後に就職予定。かがむ動作が多いため、それまでに治したいと思っている。
症状改善目的で当院受診。
治療前の症状について
寝返り動作:容易
立ち上がり動作:容易
洗顔動作:容易
中腰姿勢、立位の持続:やや困難
長時間座位:容易
重量物の挙上・保持:やや困難
・治療前の痛みレベル
| 腰 | 下肢 | しびれ | おしり | |
|---|---|---|---|---|
| 痛みの度合い | 7 | 4 | 0 | 4 |
まったく痛みが無い場合を0、考えられる最大の痛みを10と評価しています。
主な症状部分:右腰部~下肢

画像及び所見について

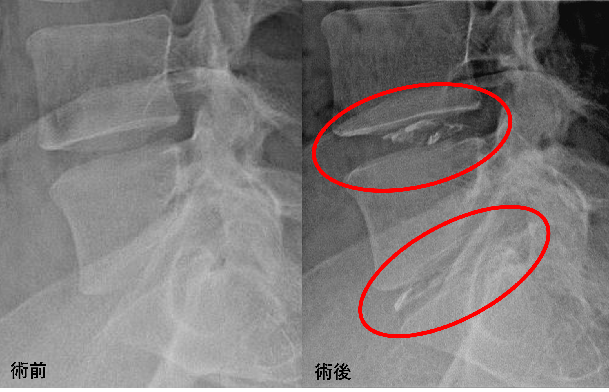
- L4/5、5/s – 椎間板変性、椎間板ヘルニア、繊維輪断裂
以上のことが画像上認められました。
L4/5、5/sの椎間板所見による脊柱管の圧排が、症状の原因の可能性が高い。
治療について
患者様と相談の元、L4/5、5/sにセルゲル法を施行
治療は小寺院長が行いました。

治療は25分程度で終了
回復室で休憩後、歩いて帰院されました。
当院の治療法について
今回ご案内したセルゲル法の補足情報です。
セルゲル法の費用:1,320,000円/1箇所(税込み)~1,760,000円/5箇所(税込み)
※この患者様のケースの費用:セルゲル2箇所=1,430,000円(税込み)
セルゲル法のリスク・副作用:治療後に一過性の痛みが発生する可能性があります。神経損 傷は治療の特性上、可能性がゼロではないですが、自験例でも論文でも損傷に関する報告はありません。局所麻酔薬によるアレルギー反応出現の可能性が極めてわずかですが存在します。治療後1~2週間は症状が一時的に悪化する可能性があります。理由として、インプラントによる減圧効果により、周囲の組織をけん引する為と考えられています。その他、椎間板がすり潰れてほとんどなくなってしまっている様な場合は治療ができない可能性があります。受診時に医師と相談しながら状態に適した治療方法の選択をご相談して頂きます。
更に詳しい情報については下記リンク先のページをご参照ください。
この記事の執筆者:理事長